京都に3拠点展開
さまざまな難症例に対応
- 叢 生
- 出っ歯
- 受け口
- 開 咬
- 過蓋咬合
- 交叉咬合
- 偏 位
- 埋伏・先欠
- 再矯正
専門医ゆえに、あらゆる不正咬合から再矯正ケースまで、さまざまな難症例に対応しています。
全国の矯正歯科でも
希少な5つの特徴
-
1.
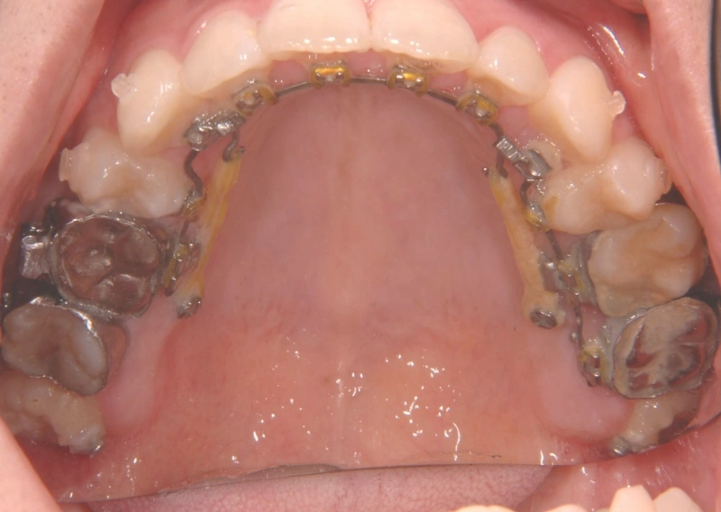
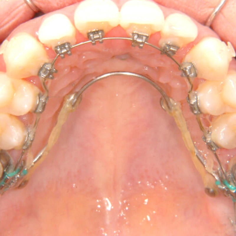
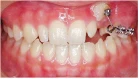
歯を抜かない※
歯科矯正用アンカースクリューを固定源に、歯を遠心移動(奥歯方向へ移動)させてスペースを確保することで、ほとんど歯を抜かずに矯正治療を行っています。
12歳以上を対象に、
長岡院での抜歯率を集計した結果過去5年間の抜歯率3.9%(692人中27人)- 2021年 1.9%(3/158人)
- 2022年 5.5%(7/128人)
- 2023年 6.0%(9/150人)
- 2024年 2.4%(4/168人)
- 2025年 4.5%(4/88人)
-
2.
マルチブラケットなしで
治療できる可能性遠心移動でスペースを確保できるため、症例によってはマルチブラケットを装着せずに治療を行うことができます。表側に装置をつけないため審美性が高く、見た目への配慮と治療効率の両立を図った矯正治療が可能です。
-
3.
矯正歯科専門医による治療
日本歯科専門医機構の矯正歯科専門医は、矯正歯科を標榜するクリニックで唯一HPに記載できる資格です。2026年1月現在、日本に約300名しかいない希少な資格でもあります。
-
4.
ご来院毎に顔貌と
口腔内を撮影全国の矯正歯科医院の中で、来院毎に顔貌も撮影している医院は希少です。前回と当日に撮影した状態を比較することで、歯の動きが計画通りに進んでいるかを客観的に評価し、治療の進み具合を患者さまご自身でも分かりやすく確認していただけます。
-
5.
京都で3院。
通いやすい矯正歯科さわだ矯正歯科は、長岡京市と京都市(桂・西院)に3院を展開しています。いずれも駅やバス停から近く、駐車場もご用意しています。お住まいや通勤・通学に合わせて通院先をお選びいただけます。(矯正治療の費用は3院共通です)
矯正歯科治療について
矯正費用 (料金表)
費用・料金は長岡京・桂・西院で共通の価格になります
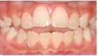
矯正治療でこんなに
キレイになります
当院は子供でも大人でも基本的にできるだけ歯を抜かない治療で進めています。
表側からの装置をつけずに治療される方も。
大人の矯正の場合、歯科矯正用アンカースクリューで歯を抜かずに治療することもあり、
一期治療だけで治療が終わる場合もあります。
-
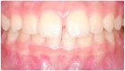
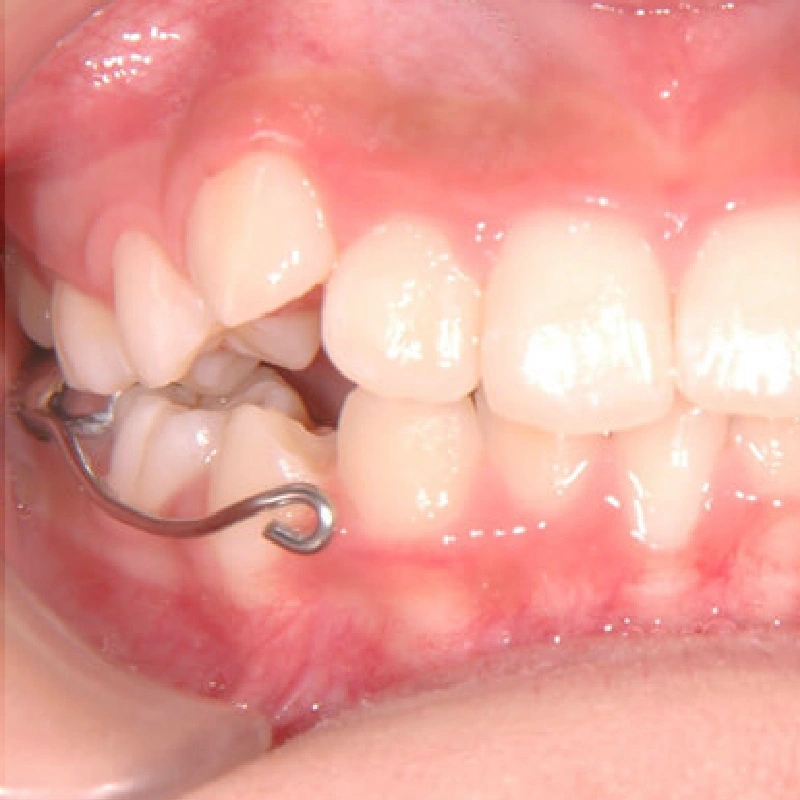
Case01受け口(反対咬合)
上の歯が下の歯より中に入っているかみ合わせをいいます。
-
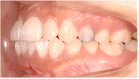
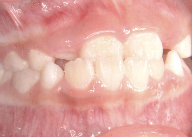
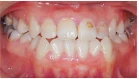
Case02叢生
歯が重なり合った状態(ガタガタでこぼこ)をいいます。
-
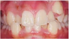
Case03八重歯
最後に生える犬歯の隙間がなくなったために起こります。
-
Case04埋伏歯
永久歯が生えてこないで埋まっている状態を言います。
-
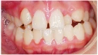
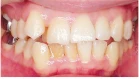
Case05出っ歯(上顎前突)
上の歯が前に出ている歯並びを出っ歯(上顎前突)といいます。
-
Case06切端咬合
前歯同士が突き合わせで噛んでいる嚙み合わせです。
-
Case07開咬(オープンバイト)
数本の歯が噛み合わない状態をいいます。舌のくせ等が関わっています。
-
Case08すきっ歯
歯と歯の間にスペースが見られる状態をいいます。
-
Case09外科矯正(顎変形症)
顎を手術と矯正で直します。保険適用です。
たくさんの症例を掲載していますので
是非ご確認ください。
理事長挨拶
非抜歯率9割以上
なるべく抜かない矯正歯科治療
当院では20年以上、長岡京市・向日市・島本町・大山崎町を中心に、小臼歯を抜かない矯正歯科治療を行ってまいりました。一般的に矯正歯科治療では小臼歯4本の抜歯が当たり前とされていますが、当院では可能な限り小臼歯を残し、歯科矯正用アンカースクリューや小児矯正を用いた非抜歯矯正を実践しています。
その結果、非抜歯の率は9割を超えています。
なるべく抜かない治療と言いましても抜歯率はドクターにより様々です。当院では長期に安定して口元が自然に閉じられて前歯が真っ直ぐになり、垂直的にもスマイルラインに上の前歯が収まるように三次元的に良い位置に配列するようにしています。飛び出た歯を後方へ移動し、過度に伸びた歯を短くするために垂直方向に移動させます。
これにより下顔面のバランスが整い、スマイルラインに調和した歯並びの改善を期待できます。
桂→西院と京都市内に分院展開
2016年には京都市西京区・千代原口交差点に「さわだ矯正歯科 桂クリニック」を開院し、阪急桂駅を中心に西京区はもとより亀岡・松尾・嵐山方面からも多くの患者様にご来院いただいております。
2020年には右京区四条中学校前に「さわだ矯正歯科 西院クリニック」を開院いたしました。阪急西院駅からもアクセスしやすく、西京極・梅津をはじめ京都市内各地より多数の患者様にお越しいただいております。
再治療にも対応
納得のいく矯正治療を
他院での矯正治療に満足できなかった方のために再治療もご提供しています。歯科矯正用アンカースクリューによるリカバリーやアライナー矯正の再治療にも対応しておりますので、どうぞお気軽にご相談ください。
健康な歯を残して良好な口元は皆様の全身の健康の一助となります。是非、満足のゆく矯正治療を当院でお楽しみ下さい。
院長コラム
-
磨き残しを自分でチェックする方法は?効果的な確認手順と改善策磨き残しは誰にでも起こる 毎日きちんと歯磨きをしているつもりでも、実際には磨き残しが発生しているケースが多いんです。 特に矯正装置を装着している方は、矯正装置の周辺に汚れが溜まりやすく、通常の歯磨きだけでは不十分になりがちです。磨き残しをそ […] -
矯正中のフッ素は効果ある?虫歯予防のための正しい使い方と頻度矯正治療中の虫歯リスクは、装置を装着していない状態と比べて高まります。 矯正装置の周囲に汚れが蓄積しやすく、ブラッシングが難しくなるためです。当院でも、矯正治療をスムーズに進めるために、虫歯予防を最優先課題として位置づけています。 その中で […] -
矯正中のクリーニング頻度は?プロケアで虫歯・歯周病を予防する方法矯正治療をスタートすると、多くの方が気にされるのが「装置をつけたままで、お口の中をきちんと清潔に保てるのか」という点です。 ブラケットやワイヤーが歯の表面に固定されていると、どうしても食べかすが挟まりやすく、歯ブラシが届きにくい箇所が増えて […]
よくある質問
Q.1料金の支払いは分割できますか?
A
2年に分けて分割が可能です。
細かく分けて支払いを希望される場合は、デンタルローンも取り扱っております(金利あり)。
Q.2矯正治療は保険がききますか?
A
矯正歯科治療は、自由診療(保険のきかない治療)です。
しかし、特定の先天性疾患による不正咬合の場合は保険診療の適用となる場合があります。
また、当クリニックは歯科矯正の更生医療機関(育成医療機関)の指定機関のため、手術を併用して不正咬合を治療する場合(顎変形症)も保険診療の適用が可能です。
気になる方は一度ご相談下さい。
※保険適用の患者様は平日のみご予約を承っております(顎変形症の方は平日午前中もしくは15時のみ)。
Q.3医療費控除って?
A
医療費が10万円以上かかった人(医療補助を引いた実際に自分が負担した金額)や収入の5%以上かかった人などは、確定申告をすれば税金が還付されます。
これを還付申告といいます。
通常の確定申告は、毎年2月中旬から3月中旬までが申告期間となっていますが、還付申告に限っては、年明け早々から受付を行っています。 本来の確定申告の時期に行くより空いているし、早く手続きすればそれだけ早く税金が戻ってきます。
自分自身や家族のために医療費を支払った場合には、一定の金額の所得控除を受けることができ、これを医療費控除といいます。 矯正に限らず医療費すべてを合算した金額が対象となります。
医療費控除は所得金額から一定の金額を差し引くもので、控除を受けた金額に応じた所得税が軽減されます。 (所得が少なくなれば、結果として住民税も減ることになります)
Q.4歯茎について
歯茎について教えてください。 私(26歳)は今、歯の矯正中なのですが、笑ったときに歯茎が目立つ(長く見える)のが悩みです。
すべて読む
歯の矯正が終わると、歯肉整形術(ガムフィットネス)?ガムライニング?というものをしたいのですが、関西でそのような治療をしてくれる歯医者さんはあるのでしょうか?
治療はどのように行われるのか、詳しく教えてください。
そして費用などはいくらぐらいかかるのでしょうか?
全体的に、上の歯茎も下の歯茎も他の人より長いようです。
歯が小さいのかもしれませんが、治したいと思っていますのでよろしくお願いします。
A
笑った時に歯茎が見えるのは、骨格的な問題です。
骨格の高さが大きいため、歯肉整形術だけで治らないと思います。
無理に歯肉整形術を行うと、歯周病にかかったようになります。
骨切り術によって、骨の高さを減らす必要があります。
これは、外科的矯正治療というもので、矯正も手術入院も保険の対象となります。
しかし、どこ歯科医院でも保険が利くのではなく、都道府県知事が指定した医療機関(歯科矯正に関する更正医療機関で、知事に申請して指定を受けた機関)に限られます。
術前の矯正1年程度、手術入院1ヶ月程度、術後の矯正1~2年、矯正後の保定(歯の安定をはかる)1~2年です。
費用は2割負担で、矯正が20万円程度、手術入院が30万円程度です。
手術は大阪大学歯学部附属病院、京都大学医学部附属病院、大阪歯科大学附属病院などで行っています。
当院でも、4月から保険適用が受けられるようになりました。
保険で相談できますので、よろしかったら御連絡下さい。
Q.5矯正と抜歯について
はじめまして。 現在28歳です。 下の左4本目と5本目の間の内側に1本歯が生えていまして(中学の時にあとから生えてきたのです)以前から・・・。
すべて読む
いつも行っている歯医者さんにもできれば抜いた方がよいと言われている問題の歯があります。
今回友人の勧めで矯正や移殖などもしてる歯科医に行ったところその歯は綺麗なので抜かずに隣の虫歯で治療済みの歯を抜き内側の歯を矯正し正常な位置にもってくることを勧められました。
確かに歯並びはよくないので矯正を勧められるのもわかるのですが、2年もかかるなんてもうそれだけでストレスとなりそうです。
実は小学生のころ矯正もしていたのですが、完全には治療できずでていた前歯は高校の時にさし歯にし、見た目だけは良くしました。
今日かかった先生のお話では、今の人はみんなそうだけどあごが小さいのに、歯はわりと大きく噛む力もあまりないということや、上の歯が全体的に右にずれていてかみ合わせがよくないといわれました。
あと歳をとったら肩こりや頭痛など他のところにも出てくるということも聞きました。
矯正するしないに関わらず、とりあえず親知らずは次回抜くと言われています。
ひとつ質問なのですが虫歯などでなくても親知らずは抜いておいた方がよいのでしょうか?
虫歯でもないし、きちんと生えていますが・・・
でも生える時は歯茎が覆い被さっていて痛かったので行きつけの歯医者で治療を受けました。
そのときは抜歯せず歯茎の方を切る方法を採ってくれ無事生える事ができたのです。
親しらずを抜くことで歯を磨きやすくなる以外に歯並びが変わるなどのメリットがあるのですか?
教えてください!
A


