子供の矯正治療は、永久歯に生え変わるまでにおこなう治療を「Ⅰ期治療」、永久歯に生え変わってからおこなう治療を「Ⅱ期治療」で分けて、歯並びや噛み合わせを改善します。
小児矯正の場合、成長を利用した矯正治療ができることが、成人矯正との大きな違いです。
子供の矯正治療は、永久歯に生え変わるまでにおこなう治療を「Ⅰ期治療」、永久歯に生え変わってからおこなう治療を「Ⅱ期治療」で分けて、歯並びや噛み合わせを改善します。
小児矯正の場合、成長を利用した矯正治療ができることが、成人矯正との大きな違いです。
Ⅰ期治療で、永久歯が正しい位置に生えるためのスペースづくりをします。スペースができると、非抜歯で治療できる可能性が高まります。
多くの保護者の方が「子供には短期間で少ない負担で治療を済ませてあげたい」と思われることでしょう。このような患者様の思いに応えるため、当院ではできる限りⅠ期治療で終えられる治療を追及し続けています。
当院では、使用する矯正装置を院内で作製しております。なかでも、小児矯正で使用する拡大床やリンガルアーチなどの固定式の装置などは、目立たないだけでなく、痛みにも配慮した装置を設計し、お子様への負担を抑えた治療をおこなっております。
通常の拡大床装置は、歯の生え変わりや歯の動きに合わせて、調整や装置の再作製が必要になることがありました。その点、当院の拡大床は装置の調整が不要。そのため、来院回数を抑えた治療をおこなうことが可能になりました。










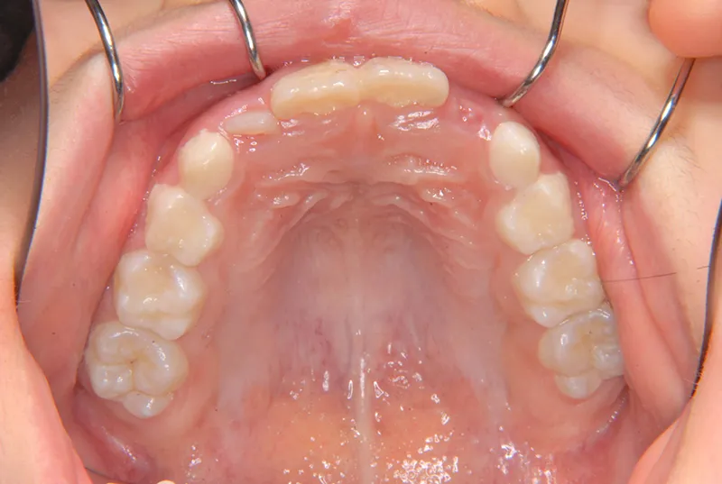
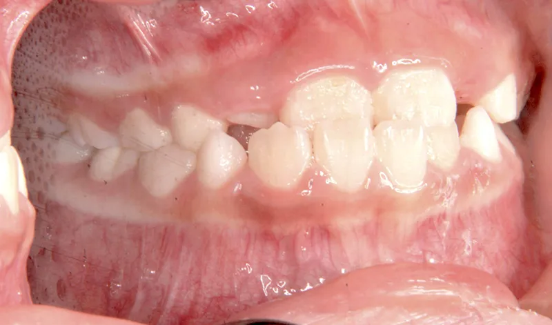
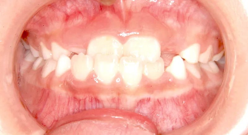
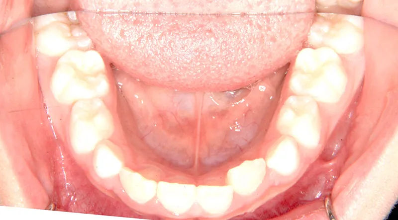
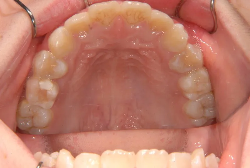
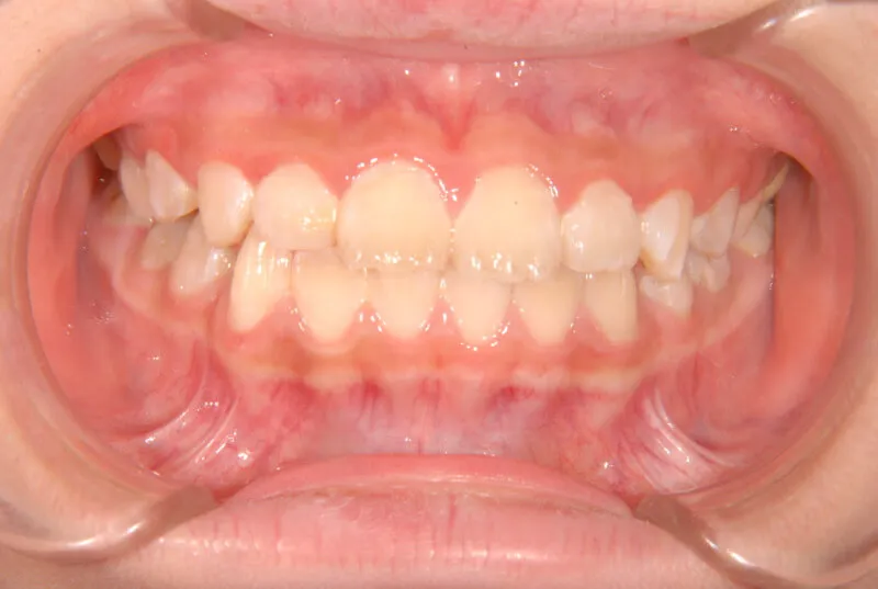
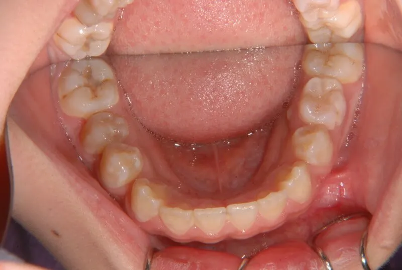
| 初診時年齢 | 小学校1年生(女性) | 主訴 | 受け口 | ||
|---|---|---|---|---|---|
| 診断名 | 叢生・反対咬合 | 装置名 | 拡大床 | ||
| 抜歯の有無 | 非抜歯 | 治療期間・通院回数 | 2年7ヶ月・21回 | ||
| 費用 | 481,890円(税込) | 費用内訳 | 相談料:1,050円 検査料:46,200円 施術料:210, 000円 装置料:105,000円 保定装置料:52,500円 調整料:3,150円×10回=31,500円 以上 消費税率5% / 調整料:3,240円×11回=35,640円 以上 消費税率8% | ブラケット・ ワイヤー |
付けずに治した |
| 費用内訳 | 相談料:1,050円 検査料:46,200円 施術料:210, 000円 装置料:105,000円 保定装置料:52,500円 調整料:3,150円×10回=31,500円 以上 消費税率5% / 調整料:3,240円×11回=35,640円 以上 消費税率8% | ||||
| 特徴 |
固い食べ物が嫌い 乳歯列が綺麗に並んでいる ゆがんで生えている よく噛まないで飲み込む |
||||
| 状態 |
永久歯が生える隙間がない(叢生) 受け口(口元が出ている/下顎前突/反対咬合) |
||||
| リスク・副作用 |
矯正歯科治療に伴う一般的なリスク・副作用
|
||||
歯並び、噛み合わせ不良等の不正咬合は、舌癖や頬杖等の悪習癖、遺伝的要素、歯の大きさや骨格など個人差があります。
お子様の歯並びにお困りの方は、一度ご相談ください。歯列矯正の必要性の有無や治療開始時期などをご提案いたします。
生まれつき永久歯の本数が足りないケースを「先天性欠損」といい、歯が歯茎や骨に埋まっている状態の歯を「埋伏歯」といいます。
不足している歯の本数や埋まっている歯の位置と本数などによっては、矯正治療が保険適用になるケースがあります。
当院は、指定自立支援医療機関の指定施設であるため、先天性欠損や埋伏歯などの他に、唇顎口蓋裂などの一部の先天異常(厚生労働大臣が定める疾患)に対する矯正治療は保険適用となります。
保険適用になるケースについて
子供の矯正治療は、成長期におこなうため、骨格の成長にあわせた矯正治療ができます。
当院のⅠ期治療の装置はほぼ見えない装置ですから安心です。
出っ歯やガタガタの歯並びを放置することで、なかにはコンプレックスになるお子様も。見た目が改善することで、コンプレックスになる要素を未然に防ぐことができます。
歯並びが乱れていると、歯磨きにテクニックが必要になり、お子様では難しく、磨き残しになりやすくなります。 歯並びが整うことで、お子様でも簡単に歯磨きなどができ、虫歯や歯肉炎の予防につながります。
歯列矯正をおこなうことで、食べ物を噛みやすくなるだけでなく、お口が閉じやすくなり、閉口姿勢での就寝が正しい成長をうながします。
お子様と一緒にご来院いただき、気になる部分や学校検診で指摘を受けた箇所について、歯並びや噛み合わせの状態を確認しながら、お話しさせていただきます。
レントゲン撮影やお写真撮影、歯型とりなどの検査をおこない、検査結果を分析して治療計画をご説明いたします。
当院のⅠ期治療の装置はほぼ見えない装置ですから安心です。
取り外しのできる拡大床や固定式の矯正装置を使用してⅠ期治療をおこないます。歯並びや噛み合わせが改善されたら、Ⅰ期治療は終了です。
Ⅰ期治療終了後、経過観察をおこない、必要に応じてⅡ期治療を開始します。
当院では、できる限りⅠ期治療で終了できる治療を目指しています
お子様の開始時期に悩まれる方も多いのではないでしょうか。 お子様によって歯が生えるペースや歯並びや噛み合わせの状態は異なりますので、適切な時期に治療を開始する必要があります。
なかには早期に開始する必要があるケースもありますので、お子様の歯並びが気になる方や学校検診で指摘を受けられた方は、一度当院までご相談ください。
× ウィンドウを閉じる
× ウィンドウを閉じる
× ウィンドウを閉じる