舌側矯正

舌側矯正

周りに矯正治療を
気付かれない!

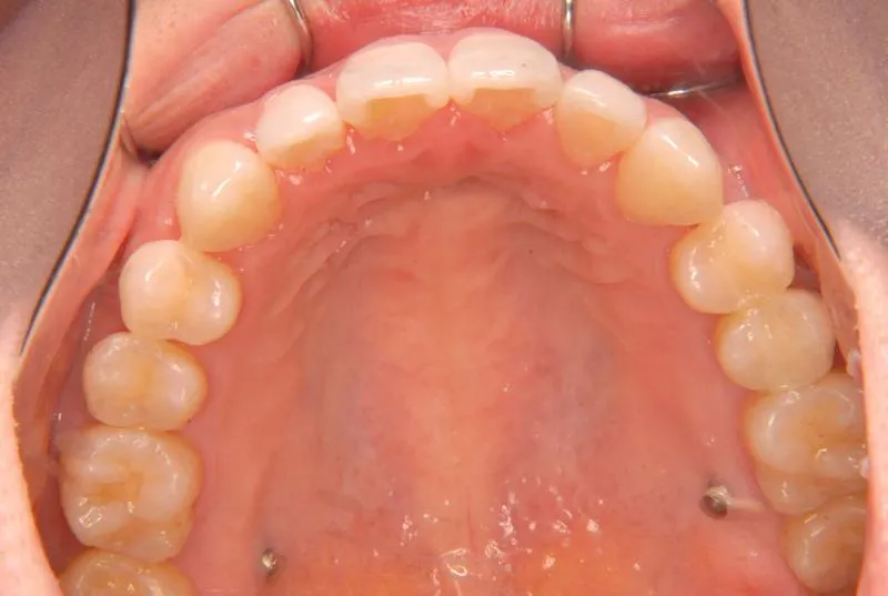
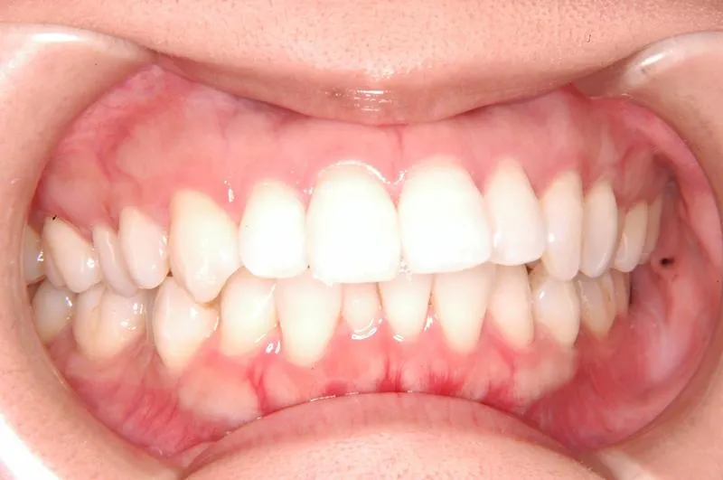
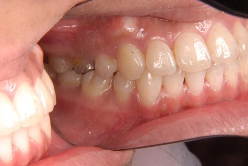
下の歯の裏側についているのがわかりますか?
周りに矯正治療を気付かれない!

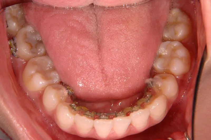
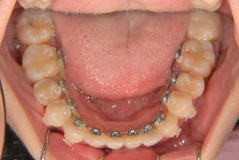
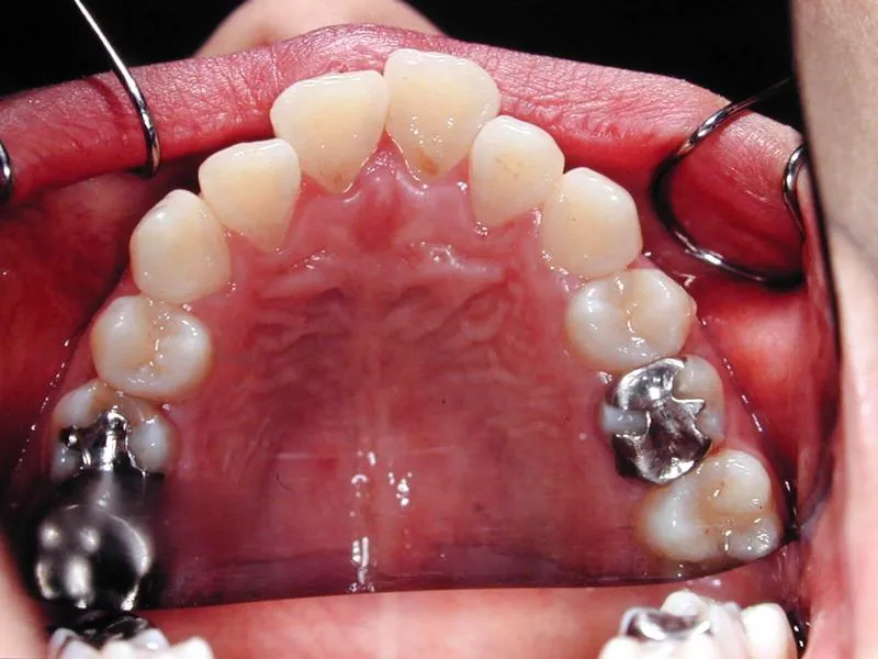
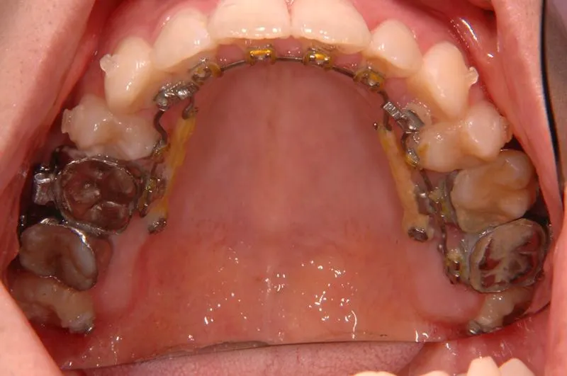
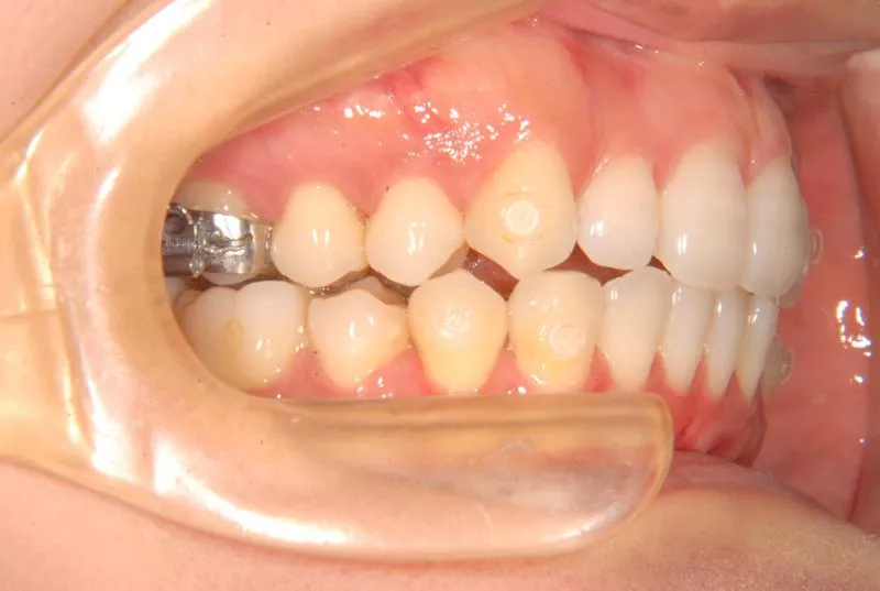
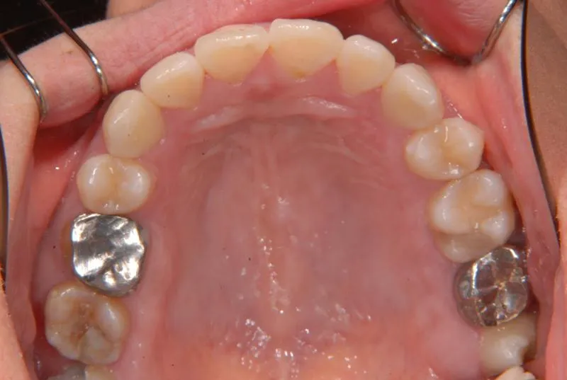
歯の裏側にマルチブラケット装置をつけて治療する方法をリンガルブラケット矯正法・舌側矯正(歯の裏側に装置)といいます。上顎・下顎ともに歯の裏から装置をつけるため周りに気付かれません。

上顎のみに舌側から装置をつけて、そもそも見えにくい下顎には表側の装置をつけるハーフリンガルという方法もあります。

舌側からの治療は難しく、通常の矯正よりも来院頻度が高くなりますが、むし歯になりにくい、舌癖防止といったメリットがあります。

リンガルとは舌側という意味です

舌側矯正(歯の裏側に装置)の
メリット・デメリット

メリット デメリット
矯正していることが周りに気付かれない 費用が高額
舌癖防止・治療後
の後戻り防止
調整中の開口が
つらい
慣れるまで
発音しにくい

舌側矯正(歯の裏側に装置)には、メリットがある分、デメリットもありますので気になることはご遠慮せずにご相談時にお聞かせください。

患者さんの状態によっては
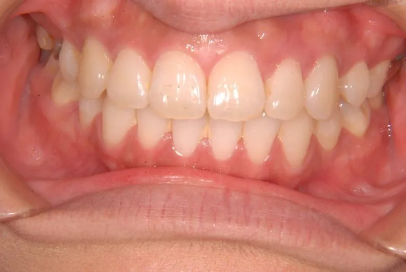
マルチブラケット装置をつけずに矯正治療も!

患者さんの不正咬合の状態によりますが、当院独自のノウハウでマルチブラケット装置をつけずにリンガルアーチと歯科矯正用アンカースクリューを併用した一期治療で治療できる場合があります。

当院が基本的に目指す治療は「できるだけ歯を抜かずにマルチブラケット装置をつけずに」です。

マルチブラケット装置とはこのような装置です

舌側矯正(歯の裏側に装置)の
症例写真でイメージしてください

当院で舌側矯正(歯の裏側に装置)を行った患者さんの症例を何例か紹介しますのでご確認ください。

上顎前突/成人/歯を抜く治療

  • 上顎前突/成人/歯を抜く治療,施術前
    上顎前突/成人/歯を抜く治療,施術前
    施術前
    上顎前突/成人/歯を抜く治療,施術前
  • 上顎前突/成人/歯を抜く治療,矯正器具
    上顎前突/成人/歯を抜く治療,矯正器具
    矯正器具
    上顎前突/成人/歯を抜く治療,矯正器具
  • 上顎前突/成人/歯を抜く治療,施術後
    上顎前突/成人/歯を抜く治療,施術後
    施術後
    上顎前突/成人/歯を抜く治療,施術後
主訴 出っ歯
診断名 上顎前突
年齢 25歳
治療に用いた主な装置 リンガルブラケット装置、
歯科矯正用アンカースクリュー
抜歯部位 上左右D番、下左右5番
治療期間 6年11ヶ月(73回)

出産のため半年治療中断

治療費用 1,278,900円
費用内訳

相談料:1,050円

検査診断料:71,400円

(一期)施術・装置料:367,500円

(二期)装置料:157,500円

追加装置(リンガル)料:525,000円

歯科矯正用アンカースクリュー代:15,750円×2本=31,500円

保定装置料:52,500円

調整料:3,150円×73回=229,950円 以上 消費税率5%

  • 歯体移動により歯肉、歯槽骨、歯根が減少することがあります。
  • 装置により口腔内粘膜を傷つけることがあります。
  • 矯正治療中装置が破損することがあります。
  • 上記の装置は、完成物薬機法対象外の矯正歯科装置であり、医薬品副作用被害救済制度の対象外となる場合があります。

矯正歯科治療に伴う一般的なリスク・副作用

  1. 矯正治療で歯を動かすことで、歯に痛みや違和感を感じることや、頭痛・発熱が起こることがあります。個人差はありますが、3日から1週間でおさまっていきます。
  2. 矯正装置が唇や舌、粘膜に擦れることで、口内炎ができたり、傷がつきやすくなることがあります。
  3. 矯正装置を装着すると、歯磨きが複雑になり、磨き残しが増える傾向にあります。不十分な清掃状態が続くことで、虫歯・歯肉炎・歯周病に罹患しやすくなるため、自己管理と定期的なメンテナンスの受診が必要になります。
  4. 顎間ゴムの使用や定期的な来院、その他の指導(MFTなど)に対する協力が得られない場合、歯並びに影響がでるような習癖(頬杖や食事の際に片側のみで噛むなど)があると矯正治療が円滑に進行しないことがあります。
  5. 矯正治療中には、咬み合わせや歯並びが随時変化します。それに伴い、咬み合わせや顎の関節に違和感や痛みがでたり、一時的に歯並びが以前より悪くなったと感じる場合があります。
  6. 歯を動かすことで、歯根吸収(歯の根が溶けて短くなる)や歯の変色(神経の壊死)が起こることがあります。変色の原因はこの限りではありませんが、変色が軽度の場合には、矯正治療後のホワイトニングで改善できる可能性があります。
  7. 歯を移動させた際に、ブラックトライアングル(歯と歯の間の三角形の隙間)や歯肉退縮が起こることがあります。 そのような場合、ブラックトライアングル等の改善を目的とした歯の形態や大きさの修正を行うことがあります。
  8. 必要に応じて、歯の形態の修正、咬み合わせの調整、歯の大きさの調整などを行う場合があります。
  9. 歯の根が曲がっている場合や骨性癒着(歯と骨がくっついている状態)が起こっていると、歯が動かないことがあります。また、小帯(唇や頬にあるヒダ)の付着位置が悪かったり、骨隆起(歯を支える骨が膨らみコブのような形態になっている状態)があると、歯の移動を阻害する可能性があるため、矯正治療中にこれらを除去する処置が必要になる場合があります。
  10. 接着型の矯正装置の場合、外れてしまうことがあります。外れてしまったときに、矯正装置を誤飲してしまう可能性がありますが、ほとんどの場合、自然に排泄されます。
  11. 歯が動くスピード、治療の難易度、症例、使用する矯正装置によって治療期間が異なるため、目安として記載している治療期間や診断時にお伝えする予想治療期間が前後する可能性があります。
  12. 矯正治療中に金属アレルギーの症状がでる場合があります。
  13. 矯正治療終了時に矯正装置を外す際、歯に小さな亀裂や傷がついてしまう場合があります。
  14. 矯正治療終了後、保定装置を指示通りに装着していただけない場合、後戻りが起こることがあります。後戻りが起こる要因はこれに限らず、様々な要素が原因となり起こることがあります。
  15. 矯正治療前後に、被せ物治療をやり直す必要がある場合があります。(特に、マウスピース型矯正装置を用いた治療の場合には、治療途中に被せ物の形態が変化すると、マウスピースが合わなくなるため、治療前の処置が必要です)
  16. 顎の成長、加齢、親知らず、歯周病などの影響により歯並びが変化し、再治療が必要になる場合があります。
  17. 治療後に親知らずの影響で歯並びや噛み合わせに変化が生じる可能性があります。また、加齢や歯周病などにより歯並びや噛み合わせが変化することがあります。
  18. 矯正歯科治療は一度始めると元の状態に戻すことは難しくなります。

上顎前突・叢生/成人

  • 上顎前突・叢生/成人,施術前
    上顎前突・叢生/成人,施術前
    施術前
    上顎前突・叢生/成人,施術前
  • 上顎前突・叢生/成人,矯正器具
    上顎前突・叢生/成人,矯正器具
    矯正器具
    上顎前突・叢生/成人,矯正器具
  • 上顎前突・叢生/成人,施術後
    上顎前突・叢生/成人,施術後
    施術後
    上顎前突・叢生/成人,施術後
主訴 出っ歯、下の歯のガタガタ
診断名 上顎前突・叢生
年齢 26歳
治療に用いた主な装置 リンガルブラケット装置、歯科矯正用アンカースクリュー
抜歯部位 非抜歯
治療期間 3年3ヶ月(73回)
治療費用 1,423,950円(税込)
費用内訳

相談料:1,050円

検査診断料:46,200円

(一期)施術・装置料:359,100円

(二期)セットアップモデル料:21,000円

装置料:720,300円

歯科矯正用アンカースクリュー代:15,750円×5本=78,750円

保定装置料:52,500円

調整料:3,150円×47回=148,050円 以上 消費税率5%

  • 歯体移動により歯肉、歯槽骨、歯根が減少することがあります。
  • 装置により口腔内粘膜を傷つけることがあります。
  • 矯正治療中装置が破損することがあります。
  • 上記の装置は、完成物薬機法対象外の矯正歯科装置であり、医薬品副作用被害救済制度の対象外となる場合があります。

矯正歯科治療に伴う一般的なリスク・副作用

  1. 矯正治療で歯を動かすことで、歯に痛みや違和感を感じることや、頭痛・発熱が起こることがあります。個人差はありますが、3日から1週間でおさまっていきます。
  2. 矯正装置が唇や舌、粘膜に擦れることで、口内炎ができたり、傷がつきやすくなることがあります。
  3. 矯正装置を装着すると、歯磨きが複雑になり、磨き残しが増える傾向にあります。不十分な清掃状態が続くことで、虫歯・歯肉炎・歯周病に罹患しやすくなるため、自己管理と定期的なメンテナンスの受診が必要になります。
  4. 顎間ゴムの使用や定期的な来院、その他の指導(MFTなど)に対する協力が得られない場合、歯並びに影響がでるような習癖(頬杖や食事の際に片側のみで噛むなど)があると矯正治療が円滑に進行しないことがあります。
  5. 矯正治療中には、咬み合わせや歯並びが随時変化します。それに伴い、咬み合わせや顎の関節に違和感や痛みがでたり、一時的に歯並びが以前より悪くなったと感じる場合があります。
  6. 歯を動かすことで、歯根吸収(歯の根が溶けて短くなる)や歯の変色(神経の壊死)が起こることがあります。変色の原因はこの限りではありませんが、変色が軽度の場合には、矯正治療後のホワイトニングで改善できる可能性があります。
  7. 歯を移動させた際に、ブラックトライアングル(歯と歯の間の三角形の隙間)や歯肉退縮が起こることがあります。 そのような場合、ブラックトライアングル等の改善を目的とした歯の形態や大きさの修正を行うことがあります。
  8. 必要に応じて、歯の形態の修正、咬み合わせの調整、歯の大きさの調整などを行う場合があります。
  9. 歯の根が曲がっている場合や骨性癒着(歯と骨がくっついている状態)が起こっていると、歯が動かないことがあります。また、小帯(唇や頬にあるヒダ)の付着位置が悪かったり、骨隆起(歯を支える骨が膨らみコブのような形態になっている状態)があると、歯の移動を阻害する可能性があるため、矯正治療中にこれらを除去する処置が必要になる場合があります。
  10. 接着型の矯正装置の場合、外れてしまうことがあります。外れてしまったときに、矯正装置を誤飲してしまう可能性がありますが、ほとんどの場合、自然に排泄されます。
  11. 歯が動くスピード、治療の難易度、症例、使用する矯正装置によって治療期間が異なるため、目安として記載している治療期間や診断時にお伝えする予想治療期間が前後する可能性があります。
  12. 矯正治療中に金属アレルギーの症状がでる場合があります。
  13. 矯正治療終了時に矯正装置を外す際、歯に小さな亀裂や傷がついてしまう場合があります。
  14. 矯正治療終了後、保定装置を指示通りに装着していただけない場合、後戻りが起こることがあります。後戻りが起こる要因はこれに限らず、様々な要素が原因となり起こることがあります。
  15. 矯正治療前後に、被せ物治療をやり直す必要がある場合があります。(特に、マウスピース型矯正装置を用いた治療の場合には、治療途中に被せ物の形態が変化すると、マウスピースが合わなくなるため、治療前の処置が必要です)
  16. 顎の成長、加齢、親知らず、歯周病などの影響により歯並びが変化し、再治療が必要になる場合があります。
  17. 治療後に親知らずの影響で歯並びや噛み合わせに変化が生じる可能性があります。また、加齢や歯周病などにより歯並びや噛み合わせが変化することがあります。
  18. 矯正歯科治療は一度始めると元の状態に戻すことは難しくなります。

リスク・副作用

歯体移動により歯肉、歯槽骨、歯根が減少することがあります。

装置により口腔内粘膜を傷つけることがあります。

矯正治療中、装置が破損することがあります。

さわだ矯正歯科クリニックの矯正費用(料金表)

費用・料金は長岡京・桂・西院で共通の価格になります