症例・治療例検索

case

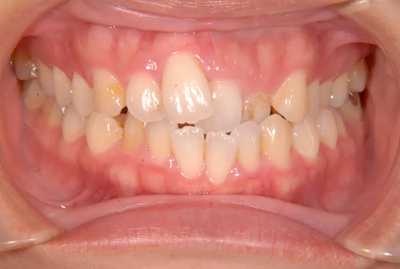
【大人の矯正】叢生・交叉咬合・受け口・前歯がずれている・非抜歯症例・33歳女性【M.F様】

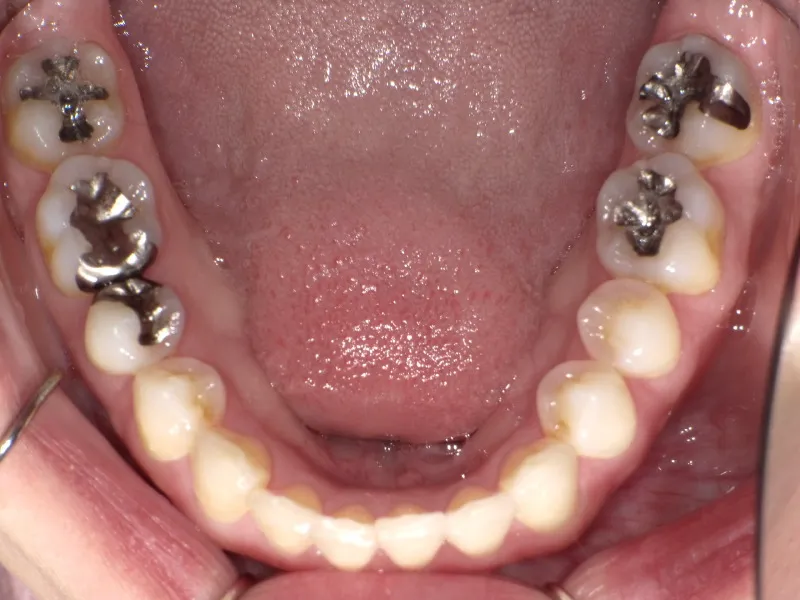
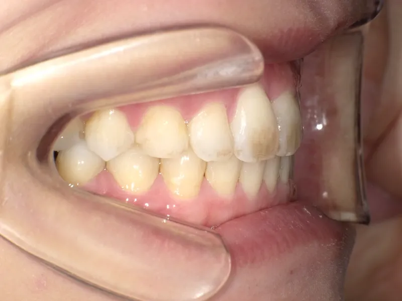
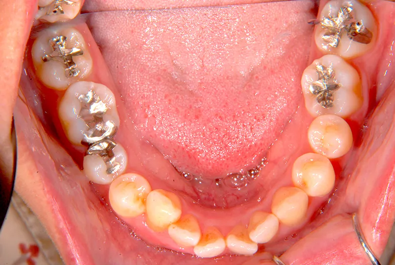
  • 初診
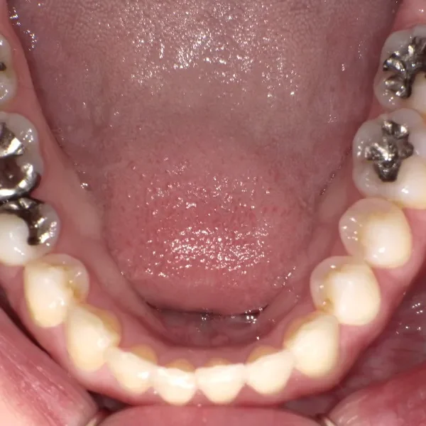
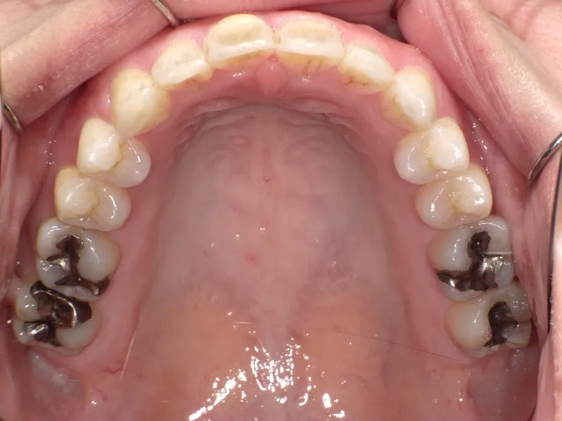
  • 治療終了後

治療終了後

初診時年齢 30~39歳 (女性) 主訴 ガタガタ・前歯がずれている
診断名 叢生・反対咬合・交叉咬合 装置名

マルチブラケット装置
歯科矯正用アンカースクリュー

抜歯の有無 非抜歯 治療期間・通院回数 1年 11ヶ月 / 30回
費用 783330円(税込) 費用内訳

相談料:1,050円 検査料:46,200円 施術料:367,500円 装置料:157,500円 保定装置料:52,500円 全セラミックブラケット:63,000円 調整料:3,150円×18回=56,700円 以上 消費税5%時 / 調整料:3,240円×12回=38,880円 以上 消費税8%時

ブラケット・
ワイヤー
付けて治した
費用内訳

相談料:1,050円 検査料:46,200円 施術料:367,500円 装置料:157,500円 保定装置料:52,500円 全セラミックブラケット:63,000円 調整料:3,150円×18回=56,700円 以上 消費税5%時 / 調整料:3,240円×12回=38,880円 以上 消費税8%時

特徴 固い食べ物が嫌い
ゆがんで生えている
状態 ガタガタ・でこぼこに生えている(叢生)
受け口(下顎前突/反対咬合)
噛み合わせがずれている(交叉咬合)
リスク・副作用
  • 歯体移動により歯肉、歯槽骨、歯根が減少することがあります。
  • 装置により口腔内粘膜を傷つけることがあります。
  • 矯正治療中装置が破損することがあります。
  • 上記の装置は、完成物薬機法対象外の矯正歯科装置であり、医薬品副作用被害救済制度の対象外となる場合があります。

矯正歯科治療に伴う一般的なリスク・副作用

  1. 矯正治療で歯を動かすことで、歯に痛みや違和感を感じることや、頭痛・発熱が起こることがあります。個人差はありますが、3日から1週間でおさまっていきます。
  2. 矯正装置が唇や舌、粘膜に擦れることで、口内炎ができたり、傷がつきやすくなることがあります。
  3. 矯正装置を装着すると、歯磨きが複雑になり、磨き残しが増える傾向にあります。不十分な清掃状態が続くことで、虫歯・歯肉炎・歯周病に罹患しやすくなるため、自己管理と定期的なメンテナンスの受診が必要になります。
  4. 顎間ゴムの使用や定期的な来院、その他の指導(MFTなど)に対する協力が得られない場合、歯並びに影響がでるような習癖(頬杖や食事の際に片側のみで噛むなど)があると矯正治療が円滑に進行しないことがあります。
  5. 矯正治療中には、咬み合わせや歯並びが随時変化します。それに伴い、咬み合わせや顎の関節に違和感や痛みがでたり、一時的に歯並びが以前より悪くなったと感じる場合があります。
  6. 歯を動かすことで、歯根吸収(歯の根が溶けて短くなる)や歯の変色(神経の壊死)が起こることがあります。変色の原因はこの限りではありませんが、変色が軽度の場合には、矯正治療後のホワイトニングで改善できる可能性があります。
  7. 歯を移動させた際に、ブラックトライアングル(歯と歯の間の三角形の隙間)や歯肉退縮が起こることがあります。 そのような場合、ブラックトライアングル等の改善を目的とした歯の形態や大きさの修正を行うことがあります。
  8. 必要に応じて、歯の形態の修正、咬み合わせの調整、歯の大きさの調整などを行う場合があります。
  9. 歯の根が曲がっている場合や骨性癒着(歯と骨がくっついている状態)が起こっていると、歯が動かないことがあります。また、小帯(唇や頬にあるヒダ)の付着位置が悪かったり、骨隆起(歯を支える骨が膨らみコブのような形態になっている状態)があると、歯の移動を阻害する可能性があるため、矯正治療中にこれらを除去する処置が必要になる場合があります。
  10. 接着型の矯正装置の場合、外れてしまうことがあります。外れてしまったときに、矯正装置を誤飲してしまう可能性がありますが、ほとんどの場合、自然に排泄されます。
  11. 歯が動くスピード、治療の難易度、症例、使用する矯正装置によって治療期間が異なるため、目安として記載している治療期間や診断時にお伝えする予想治療期間が前後する可能性があります。
  12. 矯正治療中に金属アレルギーの症状がでる場合があります。
  13. 矯正治療終了時に矯正装置を外す際、歯に小さな亀裂や傷がついてしまう場合があります。
  14. 矯正治療終了後、保定装置を指示通りに装着していただけない場合、後戻りが起こることがあります。後戻りが起こる要因はこれに限らず、様々な要素が原因となり起こることがあります。
  15. 矯正治療前後に、被せ物治療をやり直す必要がある場合があります。(特に、マウスピース型矯正装置を用いた治療の場合には、治療途中に被せ物の形態が変化すると、マウスピースが合わなくなるため、治療前の処置が必要です)
  16. 顎の成長、加齢、親知らず、歯周病などの影響により歯並びが変化し、再治療が必要になる場合があります。
  17. 治療後に親知らずの影響で歯並びや噛み合わせに変化が生じる可能性があります。また、加齢や歯周病などにより歯並びや噛み合わせが変化することがあります。
  18. 矯正歯科治療は一度始めると元の状態に戻すことは難しくなります。

歯並び、噛み合わせ不良等の不正咬合は、舌癖や頬杖等の悪習癖、遺伝的要素、歯の大きさや骨格など個人差があります。

コメント

前歯がががたなうえに、前歯の噛み合わせもずれています。
がたがたが大きいと、歯も磨きにくく、茶渋やステインなどがつきやすく、茶色くなりやすいです。

歯は抜かずに治療しました。
治療回数30回、1年11ヶ月の治療期間で矯正治療を終了しました。
主訴が改善され、ご満足頂きました。

歯並びを綺麗にすることで、審美的なマイナス面は劇的に改善されます。
それだけでなく、歯も磨きもしやすくなり、ご飯もかみやすくなり、健康面でも大幅に改善されます。

※矯正歯科治療は公的健康保険の対象外の自由(自費)診療となります。

初診

治療終了後

さわだ矯正歯科クリニックの矯正費用(料金表)

費用・料金は長岡京・桂・西院で共通の価格になります